Crown and Bridges Photo Gallery
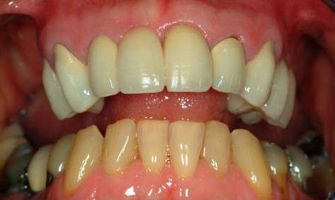
Case A
This patient desired to create a more attractive look.
This case was completed with crown and bridge work around all of the upper teeth.
Case B
Two posterior teeth are missing and the patient desired a fixed solution that did not involve surgery.
A 5-unit bridge was constructed and permanently cemented to the teeth on either side of the spaces.
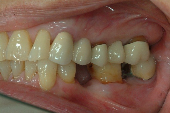
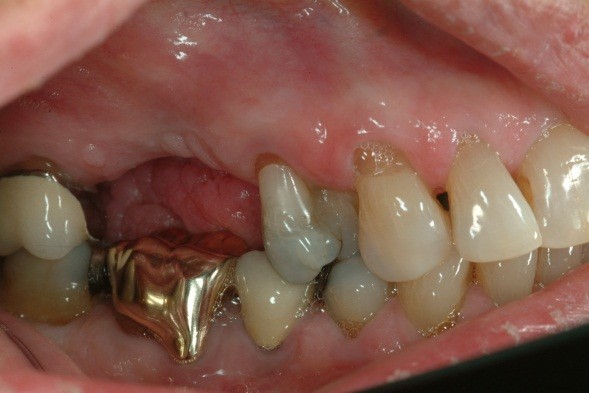
Case C
Figure 1. This patient was missing two posterior teeth. A fixed solution was desired which did not involve surgery.
Figure 2. A 5-unit bridge was permanently cemented on the teeth on either side of the spaces.
Crown and Bridges Overview
Sometimes a tooth or" teeth" need to be reinforced to protect what part of them is still healthy and strong. This may be the case when a tooth has a lot of filling material and decay has set in under the filling. Or, perhaps the tooth has been injured in some way and needs to be rebuilt. In situations such as these, crowns "or caps, as they are also called" are used to cover what remains of the tooth.
Contact Us