Cracked Teeth Overview
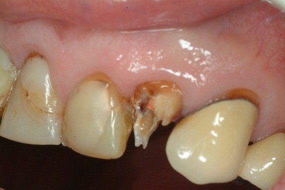
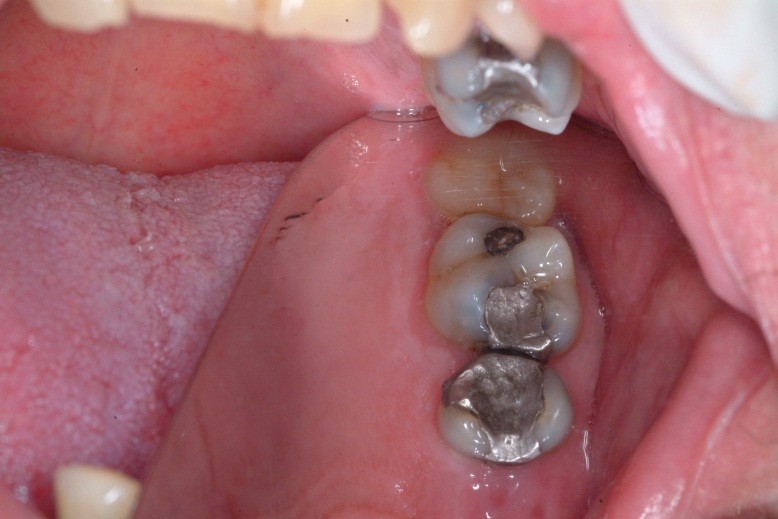
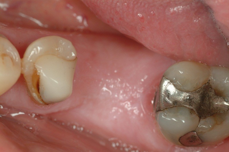
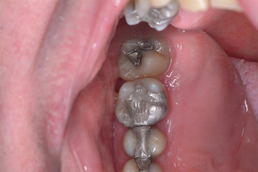
A toothache caused by a broken tooth (tooth fracture) without associated cavity or advanced gum disease. Biting on the area of tooth fracture can cause severe sharp pains. These fractures are usually due to chewing or biting hard objects such as hard candies, pencils, nuts, etc. Sometimes, the fracture can be seen by painting a special dye on the cracked tooth. Treatment usually is to protect the tooth with a crown. However, if placing a crown does not relieve pain symptoms, a root canal procedure may be necessary.
Contact Us