Learn All About BioClear And How It Can Benefit You
by Dr. Mark Pasternak

Bioclear was founded in 2007 by dentist and inventor Dr. David Clark with the vision of creating a new system of products for a modern approach for restorative dentistry. Dr. David Clark founded the Academy of Microscope Enhanced Dentistry and lectured for years about the problems he was able to see using high magnification.
Bioclear Matrix offers the latest, most progressive products and techniques evolving from the traditional preparations and matrixing systems for anterior and posterior composites. Dr. David Clark has changed the course of dental restorations by bringing a new dimension to aesthetics and function through cutting edge procedural advances. Bioclear Matrix is a metamorphose in the dental industry offering more affordable options with superior results.
The Bioclear Method has been taught by Dr. Clark through the learning centre in Tacoma, Washington for the past five years. I have been using this method exclusively in my practice since training with Dr. Clark over the past three years. It has fundamentally changed my practice. By combining the Bioclear Method with the use of an operating microscope, I have been able to solve problems and overcome challenges I could not treat in the past. From diastema closures to black triangles to broken down teeth to complex esthetic challenges, the Bioclear Method has provided my practice with a tool to help patients achieve their ideal goals.
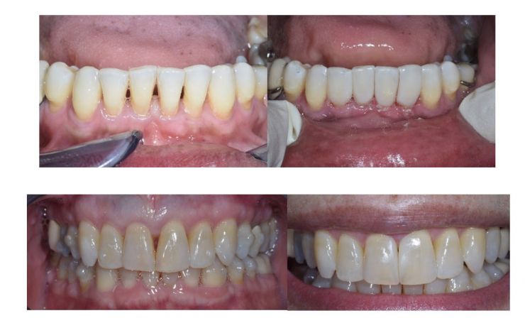
As opposed to using porcelain, teeth often don’t need to be cut at all, preserving structure and strength. In addition, the cost is about 40% that of traditional porcelain solutions.
I will continue to blog about the different applications for the Bioclear Method in the coming months, but today I will focus on black triangles. Approximately one-third of adults have black triangles--open gingival embrasures—in their smiles. Most often found along the gum line between the anterior lower teeth or between your two front teeth, these unsightly dark spots draw the eye away from what may otherwise be a white and attractive smile. They are dark because you can only see darkness in the mouth behind the teeth.
Moreover, black triangles can also contribute to poor gum health. Food and debris are more easily caught in black triangles, and no one likes to be told they have “something stuck between those two teeth.” Also, trapped food particles can cause bacteria to grow, which can eventually lead to periodontal disease and bone loss around your teeth.
Normally, the space of a black triangle is filled with healthy gum tissue called papilla. This healthy tissue can be lost because of:
• Advanced periodontitis that includes bone loss
• Traumatic injury to the gum tissue
• Aggressive flossing
• Frequent use of toothpicks and forcing fingernails between teeth
• Inappropriately fitted dental work
• Poorly positioned teeth
• Gum surgery
• Orthodontic treatment
Our profession’s strategies for managing the black triangle issue range broadly. Ideally, we avoid black triangle formation but inform patients of their predilections. Or, we ignore the problem and hope that patients will also. The latter response is not due to professional insensitivity, but rather conventional solutions that are costly, invasive, unpredictable, and unstable.
The benefits of treating black triangles with the bioclear method:
• Noninvasive, additive method
• Simple and predictable
• Smooth subgingival contours for tissue adaptation and health
• Protective coverage of root surfaces, reducing sensitivity
• Broad incisal-gingival and buccal-lingual contacts, leading to orthodontic stability.
Contact us to learn more, or to schedule an appointment today.
Related Articles
- ROOT CANALS, NETFLIX, AND THE SCIENCE OF BAD TV
Feb 20, 2019Learn about Dr. Mark Pasternak's professional take on the Root Cause documentary.
- Learn All About BioClear And How It Can Benefit You
Apr 28, 2019Bioclear Matrix is a metamorphose in the dental industry offering more affordable options with superior results. Learn more about how it can benefit you.
- Is It Normal For Children To Mouth Breathe While Sleeping?
Dec 4, 2019If you notice your child mouth breathing during sleep, you should have your child assessed for sleep disordered breathing, as this could indicate that a lack of oxygen and lead to potential issues.
- What You Should Know About Airway Prosthodontics
Feb 19, 2020Airway prosthodontics is an emerging area of dentistry. It focuses on the airway and the effect it has on the stomatognathic system, or all of the parts of the head and neck. It also focuses on the effect the anatomy has on breathing.
- COVID-19 Update from Etobicoke Dental Care
Apr 15, 2020COVID-19 Update from Etobicoke Dental Care
